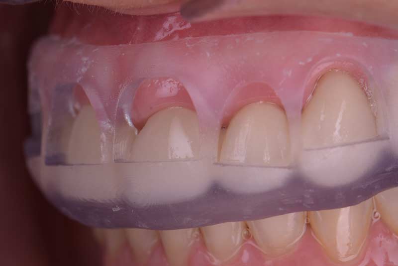
Guías alargamiento coronario

Planificación protésica con enfoque clínico para una práctica quirúrgica más guiada y una rehabilitación fiable y armónica.

Todo empieza con el diseño de sonrisa ideal y, en conjunto con el equipo clínico, diseñamos nuestras férulas para gingivectomía o alargamiento coronario, con el fin de facilitar el trabajo clínico y predecir de manera fiable el resultado estético y la armonía de nuestras rehabilitaciones finales.

CONTACTA CON NOSOTROS

¡Ponte en contacto con nosotros y diseñamos tus trabajos!

Envíanos un correo electrónico describiendo tus necesidades y nos pondremos en contacto contigo a la mayor brevedad posible.